Back to Projects List
Multi-Label Segmentation of Prostate Zones with Volumetric CNN
Key Investigators
- Anneke Meyer (University of Magdeburg, Germany)
- Alireza Mehrtash (BWH/HMS)
- Andrey Fedorov (BWH, HMS)
- Christian Hansen (University of Magdeburg, Germany)
- Nicole Wake (NYU School of Medicine)
Project Description
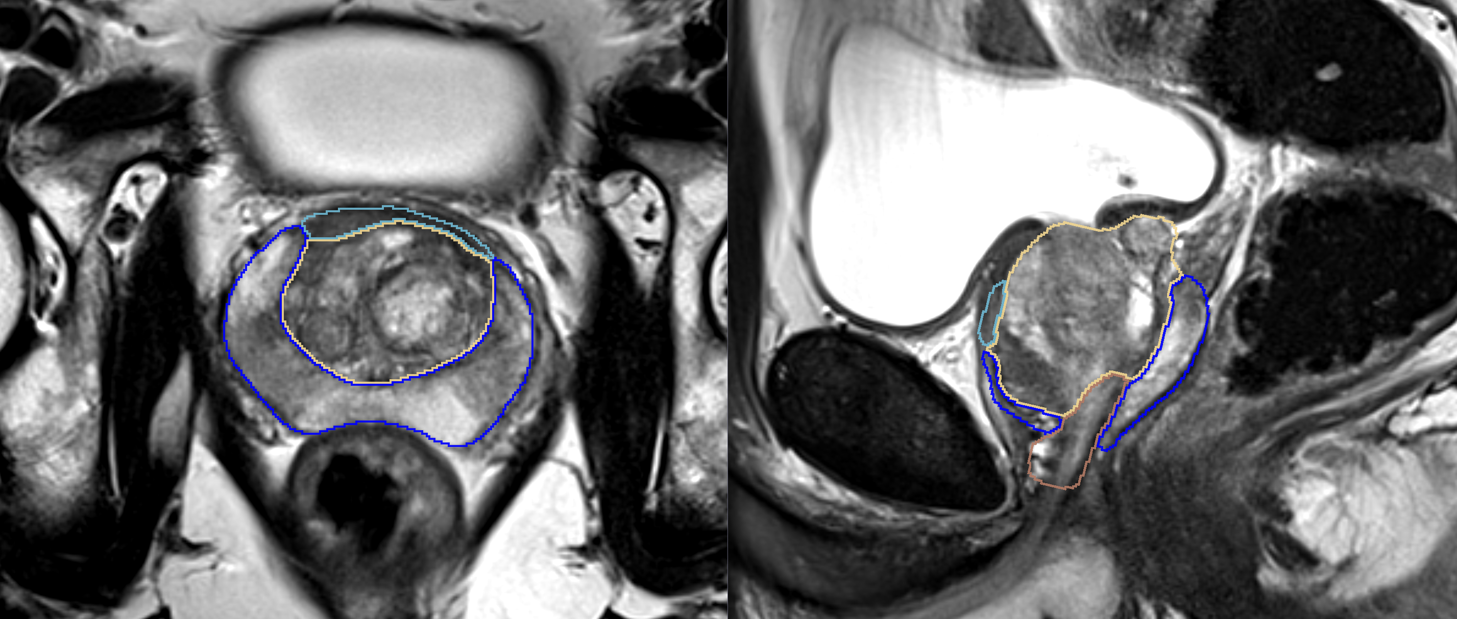
The goal of this project is to create and evaluate variants of a CNN for multi-label segmentation of prostate zones in MR images. The prostate zones are essential for lesion classification and therapy planning.
After successful segmentation, a sector map could be extracted that is used for PI-RADS reporting. This has the potential to automate and better standardize prostate lesion location reporting.
Objective
- Overlap-free segmentations of prostate zones.
- Gap-free segmentations of prostate zones.
- Improvement of current segmentation result, especially for the anterior fibromuscular stroma (AFS)
Approach and Plan
- Apply variants of volumentric CNN architectures.
- Discuss ways to obtain overlap- and gap-free segmentations.
- Discuss methods to create sector map. Which landmarks should be used?
Progress and Next Steps
- first results on more training data and with different models look promising
- Obtained meaningful results for the AFS .
- disucussions with people how to further improve the outcome.
Illustrations


Background and References
- Source code: https://github.com/YourUser/YourRepository
- Documentation: https://link.to.docs
- Test data: https://link.to.test.data